Top.Mail.Ru
Липецк
Интернет-магазин ортопедических товаров с доставкой по России
Заказать звонок

Статьи за 2014 год

Как испечь хлеб дома?
24 ноября 2014
logo

Печем домашний хлеб на закваске на любой вкус - ржаной, пшеничный, гречишный, с базиликом или с тмином, буханку или каравай...

Человек, который может все. Интервью с персональным тренером World Class
24 ноября 2014
logo

Не нужно стараться прыгнуть выше головы, нужно становиться профессионалом на своем уровне - очевидный принцип жизни этого человека. Кирилл Громов - инструктор по кроссфиту World Class Пушкинскиий в очередной раз зашел в салон “Техника здоровья”, и на этот раз мы уже не упустили возможность и взяли у него интервью.

Боли в суставах и пояснице: как избежать сезонного обострения?
24 ноября 2014
logo

Весна зачастую приходит не только с долгожданным теплом. Скачки температуры, разгул сезонных инфекций, активное начало дачного сезона оборачивается обострением артрозов, радикулитов и других заболеваний суставов и позвоночника. Как и когда появится боль - не предугадаешь. Но заранее зная эффективные средства, болезненных ощущений можно избежать.

Ортопедические подушки: что выбирает для себя директор Техники здоровья
21 ноября 2014
logo

Нас часто спрашивают: "А какие ортопедические подушки вы покупаете сами?". Мы, наконец, поймали нашего директора и попросили поделиться личным опытом.

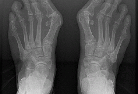
Hallux Valgus или почему растет косточка на большом пальце?
25 сентября 2014
logo

Большинство людей страдает от так называемой “косточки на большом пальце”. Основная проблема состоит в том, что многие из них начинают бороться с этим заболеванием, когда оно начинает доставлять им невыносимую боль при ходьбе, и в спокойном состоянии.

Как определить плоскостопие у детей по износу обуви
21 июля 2014
logo

Замечали, что у ваших детей обувь изнашивается не ровно? Стоптанность края подошвы или каблука, неестественное отклонение верха обуви, завал на внутреннюю или наружную сторону.

Способы предупреждения ортопедических патологий вашего ребенка
10 марта 2014
logo

Специально для клиентов компании “Техника здоровья” поделился своим опытом врач Нижегородской областной клинической больницы ортопед-травматолог Кутянов Александр Игоревич.

Здоровье позвоночника во сне и наяву
7 марта 2014
logo

Позвоночный столб – опора всего нашего организма, а его здоровье - залог полноценной и активной жизни. К сожалению, мы не всегда уделяем своему позвоночнику достаточно внимания


Домой
Каталог
Профиль
0
Корзина
Магазины
Контакты
Мы используем файлы 'cookie', чтобы обеспечить максимальное удобство пользователям.